Что коронавирус делает с нашим телом. Что коронавирус делает с организмом человека, и почему некоторые больные не выживают
- Что коронавирус делает с нашим телом. Что коронавирус делает с организмом человека, и почему некоторые больные не выживают
- Что коронавирус делает с легкими.
- Что коронавирус делает с организмом. Что происходит с организмом при коронавирусе
- Видео КАК УБЕРЕЧЬ СЕБЯ ОТ КОРОНАВИРУСА | СМОТРЕТЬ ВСЕМ | ЛЕЧЕНИЕ ОТ КОРОНАВИРУСА | CORONAVIRUS 2020
Что коронавирус делает с нашим телом. Что коронавирус делает с организмом человека, и почему некоторые больные не выживают
- Главная /
- Наука и техника
В группе риска на данный момент пожилые люди. У многих больных коронавирус протекает в легкой форме. Однако некоторые заразившиеся не выживают и умирают за считанные дни.

Глобальная пандемия COVID-19 началась с декабря прошлого года с Китая. Сегодня эта страна на первом месте по числу заболевших и умерших от коронавируса.
По данным на 15 марта, всего с момента эпидемии в стране скончалось 3199 человек, выздоровело 66931, общее число зараженных составило 80849.
Далее идет Италия, где уже от коронавируса умерло 1809 человек, выздоровело 2335, общее число зараженных – 24747. Тройку замыкает Иран. Здесь от COVID-19 умерло 724 больных, выздоровело 4590, а общее число зараженных было – 13938.
Что касается Украины, то на 16 марта зарегистрировано 5 случаев заражения коронавирусом, из них один летальных исход.
13 марта умерла 71-летняя жительница Радомышля, которая привезла вирус, находясь в Польше. В Украину женщина вернулась 1 марта, но к медикам не обратилась, несмотря на недомогание, проявившееся у нее через пару дней. 12 марта пенсионерку госпитализировали, а через сутки она скончалась.
Как известно, коронавирус приобрел массовые масштабы в прошлогоднем декабре, и через почти три месяца его признали глобальной пандемией.

Эксперты говорят, что во многих случаях его течение происходит в легкой форме, но некоторые больные погибают.
ВВС News Украина подробно рассказало, как вирус попадает в организм и в каких формах протекает.
На инкубационный период уходит до 5 суток. Вирус проникает в организм и создает там свои копии клеток, которые затем поражают новые. Его можно "подхватить" воздушно-капельным путем, или когда вы касаетесь загрязненной поверхности, а затем лица. Сначала поражает горло, дыхательные пути и легкие.
На этой ранней стадии человек болеет, а иногда симптомы могут не появиться вообще.
Из 10 заболевших легкая форма отмечается у 8 человек. Лихорадка и сухой кашель – главные симптомы.
Иногда больной может ощущать общую слабость, а также боли в горле и в голове.
При легкой форме коронавирус можно вылечить, находясь на постельном режиме с применением обильного питья и парацетамола.
Уже через неделю человек идет на поправку.
Тяжелая форма коронавируса связана с особенностям того или иного организма и реакции его иммунной системы на вирус.
Так возникает воспаление, в частности пневмония.
"Вирус вызывает дисбаланс в иммунной реакции, и как он это делает, мы не знаем", – объяснила доктор Натали МакДермотт из Королевского колледжа Лондона.
Во время пневмонии появляется одышка и затрудненное дыхание. Тогда некоторым людям нужен аппарат для вентиляции легких. Такая форма Covid-19 затрагивает около 14% больных.
Когда ситуация с заболеванием дошла до критической стадии, то организм заболевшего уже не в силах бороться, велика вероятность летальных исходов.
Таких случаев – примерно 6%.
При критической форме иммунная система выходит из-под контроля и наносит вред всему организму. Артериальное давление падает до опасно низкого уровня, а органы перестанут работать должным образом или полностью выходят из строя – начинается септический шок.
На этой стадии лечении высокоинвазивное, больного подключают к аппарату ИВЛ. Но органы уже не могут бороться с инфекцией и работать на поддержку всей жизнедеятельности организма.
Напомним, в Украине в связи с пандемией коронавируса появились новые правила для захоронения тех, кто скончался от него. Помимо того, что тело умершего подвергнут тщательной дезинфекции, на похоронах можно будет присутствовать небольшому количеству людей.
Мы также писали, что коронавирус имеет тяжелые последствия . Ученые рассказали, что происходит с теми людьми, кто смог побороть коронавирус – какие последствия проявляются в их организме.
Кроме того, эксперты рассказали, как украинцы могут защитить себя и родных от коронавируса , и что нужно сделать для того, чтобы вирус был полностью побежден.
Что коронавирус делает с легкими.

Коронавирус может поражать легкие и вызывать пневмонию
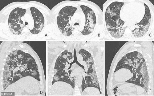
Одно из самых серьезных осложнений, которое может вызвать коронавирус Covid-19, распространяющийся в Украине и мире , это воспаление легких. Врачи отмечают, что у заболевших на рентгеновских снимках можно увидеть характерный эффект матового стекла, а после выздоровления может понадобиться время, чтобы восстановить функцию легких.
Собрали информацию о том, что происходит с легкими при коронавирусе.
Наиболее характерные признаки пневмонии от Covid-19: множественные помутнения на рентгене (симптом "матового стекла"), утолщение стенок сосудов и периферическое распределение очагов. Все это наблюдается и при "обычной" вирусной пневмонии, но в меньших масштабах.
Снимок легких, зараженной коронавирусом китаянки, публиковал журнал Radiology . 33-летняя женщина с температурой 39 была госпитализирована в городе Ланьчжоу. Рентген показал множественные помутнения, создающие так называемый эффект матового стекла. Второй снимок сделали три дня спустя. На нем видно, что болезнь прогрессирует и область "матового стекла" становится больше.
Легкие 33-летней госпитализированной женщины из Ланчжоу. Фото: Radiology
Аналогичные снимки 44-летнего зараженного мужчины из Китая публиковали и в Радиологическом сообществе Северной Америки . На снимках было видно, как в легких накапливается жидкость, постепенно занимая все больший объем.

Легкие при Covid-19. Фото: rsna.org
Одним из долгосрочных последствий коронавируса может быть фиброз легких - затвердение легочной ткани, после чего орган не может нормально функционировать. Как сообщала газета South China Morning Post , по словам китайских врачей, некоторые из выздоровевших пациентов потеряли 20-30% возможностей своих легких. Они начинали задыхаться при быстрой ходьбе, беге и физических нагрузках. Чтобы укрепить легкие им прописали физиотерапию. И рекомендовали делать физические упражнения, в том числе плавать, чтобы восстановить работу легких.
Специалисты по общественному здравоохранению из Европейского альянса общественного здравоохранения ранее сообщали, что смертность от пневмонии, вызванной Covid-19, может быть выше в районах с загрязненным воздухом. В настоящее время нет доказанной связи между смертностью от Covid-19 и загрязнением воздуха, но исследование вспышки атипичной пневмонии в 2003 году показало, что в регионах с умеренным уровнем загрязнения воздуха заболевшие умирали на 84%чаще, чем те, кто жил в местности с низким уровнем загрязнения воздуха. Об этом сообщалось в релизе на MedicalExpress .
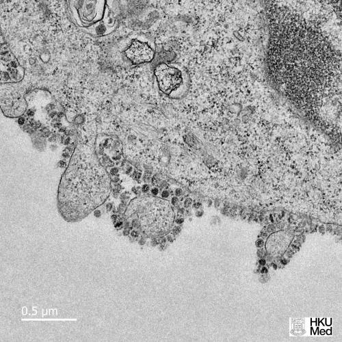
Напомним, что первый снимок штамма вируса в Китае обнародовали в конце января. Он был сделан с помощью электронного микроскопа и запечатлел процесс размножения коронавируса в клетке. Его опубликовало национальное хранилище патогенных микроорганизмов. Считается, что каждая зараженная клетка производит тысячи новых инфекционных вирусных частиц, которые могут заразить другие клетки.

Что коронавирус делает с организмом. Что происходит с организмом при коронавирусе
В статье мы расскажем о том, как именно коронавирус заражает тело. Что он делает внутри организма, как вызывает симптомы, как распространяется и как с ним борется тело.
Вирусы интересны тем, что иногда их считают одновременно и живыми, и неживыми. Они не состоят из клеток, но имеют возможность размножаться. Просто делают они это не так, как другие организмы.
Чтобы подхватить коронавирус, сперва нужно вступить с ним в контакт: либо через респираторные выделения зараженного человека, либо через физический контакт с человеком или поверхностью, на которой есть вирус, с последующим прикосновением ко рту или носу немытыми руками. Как только вирус попадает в тело, он принимается за работу.
ЕСТЬ КОНТАКТ
Вступая в контакт с вашей клеткой, вирус прикрепляется к ее рецепторам. То есть «ножки» его короны можно считать ключом, отпирающим клетки. Найдя код вашей клетки и открыв ее замок, вирус входит в нее и получает доступ ко всем ее механизмам.
Захватив систему клетки, вирус заставляет ее создавать белки, которые нужны ему. То есть ваши родные клетки превращаются в машину для производства вирусов.
Эти вирусы заполняют клетку и подбираются к клеточной мембране, чтобы выбраться, часто разрушая клетку в процессе. Затем вирусы двигаются к следующим клеткам, чтобы начать цикл заново.
СИМПТОМЫ
По мере повреждения и гибели клеток ваш организм чувствует это и запускает иммунный ответ. Именно эти два аспекта создают неприятные симптомы.
В случае коронавируса симптомы включают головную боль, насморк, кашель, боль в горле и высокую температуру. Отчасти поэтому коронавирус так трудно отследить: это обычные симптомы, с которыми мы часто сталкиваемся постоянно. Особенно в сезон гриппа или при простуде.
КАК БОРЕТСЯ ИММУНИТЕТ
Иммунная система здорового человека в какой-то момент понимает, что внутри тела находится посторонний агент, и начинает атаку. У человека резко поднимается температура, что улучшает функцию иммунной системы и делает среду неблагоприятной для вируса. Увеличивается выделение слизи и мокроты, которые мешают вирусу присоединиться к клеткам и помогают избавиться от мертвых вирусов и иммунных клеток.
Человек чувствует слабость и усталость, потому что тело направляет всю энергию на борьбу с вирусом. Даже кости могут ныть и болеть, потому что в них идет производство белых кровяных телец.
Для основной линии защиты при обнаружении коронарного вируса организм дает сигнал к производству антител, которые создаются нашей собственной ДНК. Десять миллионов рибосом в каждой клетке превращаются в фабрики по производству антител, которые высылаются за пределы клетки для борьбы с вирусом.
КАК УБИВАЕТ КОРОНАВИРУС
Проблема в том, что иммунная система распознает вирус не сразу, и это дает ему фору. Именно поэтому процесс борьбы с ним занимает столько времени. В случае коронавируса человек со здоровым иммунитетом справляется с вирусом и выводит его из организма за несколько недель.
Сложности возникают у тех, чья иммунная система ослаблена. Чаще всего это старики и дети. По мере распространения вируса и смерти клеток, в отчаянной попытке спасти организм иммунная система может перевозбудиться. В запущенных случаях белые кровяные тельца активируют несколько веществ, вызывающих проникновение жидкости в легкие. Сочетание разрушения клеток из-за вируса и жидкости в легких нарушает передачу кислорода в кровоток, что приводит к удушью и отказу органов.
НЕ ПАНИКУЕМ!
Повторим: самому большому риску подвержены люди со слабым иммунитетом, но даже при этом стоит отметить, что цифры довольно низкие. На данный момент смертность от коронавируса 2 %. Но ТОРС имел смертность в 10 %, а Эбола – до 50 %. Проще говоря, не позволяйте новостям заставить вас паниковать. Доверять можно только профессионалам здравоохранения.
Берегите свое здоровье!